胸口像压了块大石头?心慌、气短、头晕?小心!这可能是冠心病在作祟!别担心,冠状动脉支架植入术,为众多患者带来生的希望!下面两个真实案例,带您了解这项“救命技术”。
一、真实案例,见证效果
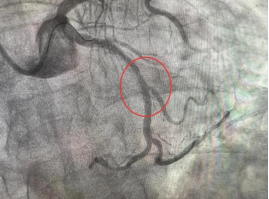
案例一:刘先生,告别胸痛困扰
刘先生因“胸痛20天”入院,入院后进行了冠状动脉造影检查,发现其心脏的一支重要血管LCX(回旋支)中段存在弥漫性狭窄,最重处狭窄约90%,确诊为冠心病。随后,内科一病区医生团队为患者实施了冠状动脉支架植入术,术后胸痛症状明显缓解,恢复良好,生活质量显著提升。

(术前) (术后)
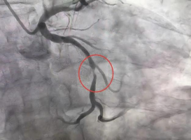
案例二:王女士,摆脱胸闷头晕
王女士,因“反复心累、胸闷5+年,再发伴头晕2小时”入院,入院后行冠状动脉造影检查,冠状动脉造影显示:LAD(前降支)中段弥漫性狭窄,最重处狭窄约90%,确诊为冠心病。随后,内科一病区医生团队为患者实施了冠状动脉支架植入术,术后,王女士的心累、胸闷症状明显缓解,困扰她的头晕也消失了。

(术前) (术后)
二、健康科普:认识冠心病与“心脏支架”
冠心病:是由于心脏的冠状动脉血管因粥样硬化导致狭窄或堵塞,引发心肌缺血、缺氧甚至坏死的疾病。它就像一颗隐藏在身体里的定时炸弹,时刻威胁着患者的生命健康。据统计,我国每年有大量患者深受冠心病困扰,其死亡率也一直居高不下。
冠状动脉支架植入:简单来说,它是在堵塞的血管中“搭一座桥”,在手术过程中,医生通过患者桡动脉或股动脉,将一根细细的导管沿着血管送至冠状动脉狭窄或堵塞的部位。通过球囊扩张撑开狭窄部位,并放置一金属网状支架,像“小卫士”一样牢牢支撑血管,恢复血流。手术创伤小、恢复快,是挽救心肌、缓解症状的高效手段。
三、哪些人需要做支架手术?
(一)稳定性心绞痛患者:经过规范的药物治疗后,症状仍然无法得到有效控制,严重影响日常生活和工作,且冠状动脉造影显示血管狭窄程度超过70%的患者。
(二)急性心肌梗死患者:这是一种极其危急的情况,一旦确诊为急性心肌梗死,应尽快进行支架植入术,在最短时间内开通堵塞的血管,挽救濒临死亡的心肌,降低死亡率和并发症。
(三)不稳定性心绞痛患者:心绞痛发作频繁、疼痛程度加重、持续时间延长,药物治疗效果不佳,且冠状动脉造影提示血管存在严重狭窄的患者。
四、重要提醒:支架非终点,健康需守护!
冠状动脉支架植入为患者打开了通往健康的大门。但支架手术不是“一劳永逸”,术后需做到:
坚持服药:术后必须严格遵医嘱服用抗血小板药物(如阿司匹林)及其他控制血压、血脂、血糖的药物,防止支架内再狭窄和血栓形成。
健康生活:戒烟限酒、低盐低脂饮食、适度运动、控制体重、规律作息、心态平和这些是守护心脏健康的基石。
定期复查:按时回医院复查,让医生评估恢复情况,调整治疗方案。
五、内科一病区医师简介

邹文龙
内科一病区业务主任
副主任中医师
高县中医医院名老中医,从医至今近 70 年,高年资副主任中医师 30 余年,早年考入首届宜宾地区中医师资进修班学习结业,曾在四川省人民医院进修中医儿科,历任高县政协委员会第六、七届医药卫生界别政协委员、高县农村卫生工作者协会常任理事、高县中医医院院务委员、门诊部主任。撰写了三十余万字的《伤寒论》、《温病学》讲稿及多篇中医论文,带教了数百名实习生、进修生,如今依然坚守在一线岗位默默笃行。擅长:中医内科、妇科、儿科、疑难杂症等疾病的诊断与治疗,尤其擅于治疗不寐、眩晕、咳嗽、脾胃病、肾系病,妇科月经不调、带下病,小儿厌食、小儿遗尿、感冒、咳嗽等。

张 欢
内科一病区行政副主任
主治中医师
毕业于成都中医药大学,对呼吸科、心内科的常见病、多发病以及急危重症有丰富的临床经验。擅长:使用中医药治疗慢阻肺、肺心病、脓毒血症、呼吸衰竭、冠心病、高血压、心律失常等疾病的诊治。

王 萍
内科一病区代理行政副主任
主治医师
毕业于成都中医药大学,高县医学会副会长,曾在西南医科大学附属中医医院进修学习心血管介入技术。擅长:高血压、心力衰竭、冠心病的诊治。主要负责冠状动脉造影、冠脉介入、起搏器治疗。

龚 萍
主治医师
毕业于成都中医药大学,曾在宜宾市第二人民医院心内科进修学习。擅长:心血管内科(包括冠心病、心力衰竭、高血压、心律失常)等常见疾病、多发病的诊治以及危重患者的抢救。

李雪梅
主治医师
毕业于泸州医学院,曾先后在四川省人民医院,西南医科大学附属医院进修学习。擅长:心血管介入技术、肺炎、慢性阻塞性肺疾病、肺源性心脏病、支气管扩张、呼吸衰竭、冠心病、高血压、扩张型心肌病、心力衰竭、脑卒中、糖尿病等内科疾患及小儿肺炎、扁桃体炎、肠系膜淋巴结炎、小儿腹泻等儿科常见病、多发病的诊断与治疗。

张鑫梅
主治医师
毕业于川北医学院,曾在成都市第五人民医院参加全科医师规范化培训。擅长:全学科多发病,常见病的诊治,如肺炎、肺源性心脏病、呼吸衰竭、冠心病、心力衰竭、眩晕、脑梗死、带状疱疹等检查的诊治,尤擅于高血压、糖尿病、脑梗死后遗症、慢阻肺、乙肝等慢性病等长期健康管理。

黄 宇
医 师
毕业于成都中医药大学,曾先后在宜宾第一人民医院呼吸内科进修,并完成住院医师规范化培训和全科医师转岗培训。擅长:慢阻肺、肺源性心脏病、气胸、胸腔积液、肺部肿瘤的诊治;微创治疗气胸及胸腔积液;机械通气治疗,纤维支气管镜检查。

李 孟
医 师
毕业于成都医学院,曾在宜宾市第二人民医院行全科住院医师规范化培训。擅长:全学科多发病,常见病的诊治,如消化性溃疡、社区获得性肺炎、慢阻肺,脑梗死等疾病的诊治,尤擅长糖尿病、高血压、慢阻肺等慢性病的长期健康管理。
六、别让冠心病偷走您的健康与活力!
如果您或您身边的亲友正饱受胸痛、胸闷、心慌、气短等不适的困扰,尤其是症状持续不缓解或突然加重时,请务必高度警惕,及时就医!
时间就是生命! 医院急诊科/内科一病区团队24小时待命,随时守护您的心脏健康!
(一)急诊科、内科一病区健康咨询电话
急诊科电话:0831-5885120
内科一病区电话:0831-5325567
(二)就诊地址
急诊科:高县中医医院庆山路院区(新院区)一楼
内科一病区:高县中医医院庆山路院区(新院区)四楼